Aesthetic Anterior Restorations, IPS e.max Crowns

(Upper Jaw/ 8 Single Crowns)

Aesthetic Anterior Restorations, IPS e.max Crowns

(Upper Jaw - 5 Single Crowns)

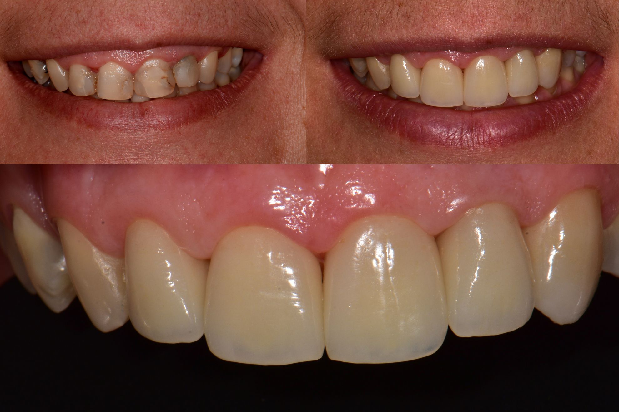
Aesthetic Anterior Restorations, IPS e.max Crowns

(Upper Jaw - 4 Single Crowns)

zirconia crowns - e.max® Coating

(Upper/Lower Jaw 21 Crowns)

zirconia crowns - e.max® Coating

(Upper/Lower Jaw 17 Crowns)

Direct Composite Veneers and Composite Restorations

Front Teeth Composite Restorations