Direkt héjak és kompozit restaurációk

 

Esztétikus fogpótlások, IPS e.max koronák

(felső/alsó 8 szóló koronA)

Esztétikus fogpótlások, IPS e.max koronák

(felső 5 szóló korona)

Esztétikus fogpótlások, IPS e.max koronák

(felső 4 szóló korona)

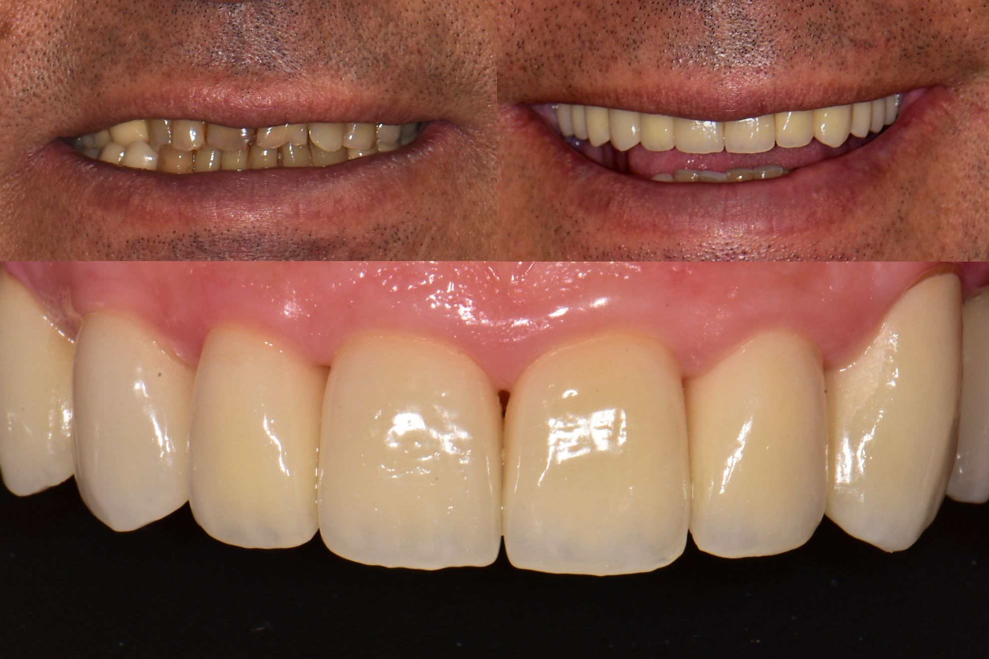
Esztétikus fogpótlások - Cirkonium - e.max® leplezéssel

(felső/alsó 17 koronA)

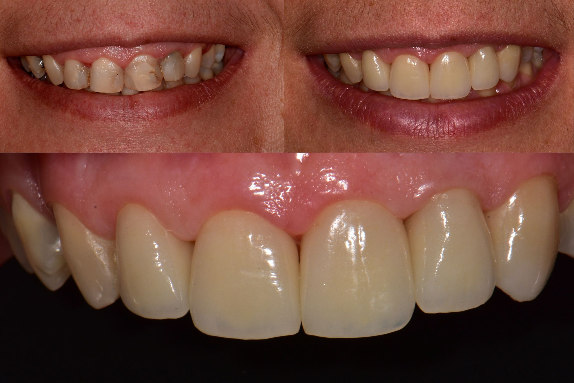
Esztétikus fogpótlások - Cirkonium - e.max® leplezéssel

(felső/alsó 21 koronA)

Frontfog esztétikus restaurációja